
头晕真的是老年人的“专利”?
年轻人头晕仅仅是因为没休息好吗?
脑科说
其实有一种头晕
经常发生在年轻人身上
甚至会出现在青少年的世界里

他们往往
患有同一种疾病——“烟雾病”
较终大多走向死亡或重残……
Q
烟雾病?是抽烟导致的吗?还是雾霾?视线里全是烟雾?
A
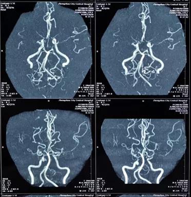
烟雾病属于脑血管病的一种,又称自发性颅底动脉环闭塞症,是以颈内动脉末端及大脑前或中动脉起始部动脉内膜缓慢增厚,动脉管腔逐渐狭窄以至闭塞,脑底穿通动脉代偿性扩张,形成异常毛细血管网为特征的慢性脑血管疾病。因在血管造影中,脑底的异常血管形状酷似吸烟时吐出的烟雾,故称为烟雾病。

烟雾病怎么治疗呢
来看看下面两个病例
病例一:我院患者赵女士 32岁
一个多月前
赵女士感觉整天头晕
昏沉沉的
伴有视物模糊
之后出现嗜睡和耳鸣现象

她到当地医院被诊断为颈椎病
住院治疗了20多天,不见效果
后转到绵阳某医院,怀疑是烟雾病
但由于技术条件有限,无法医治
经过多方打听,辗转来到我院
确诊为烟雾病、颅内多发动脉闭塞
病例二:年龄较小的烟雾病患者 4岁
该患者在出生后的几年时间里
反复发生过多次脑梗
询问家族史发现他的爷爷爸爸都有烟雾病
经过基因检测后
该患者被确诊为患有家族性烟雾病

烟雾病好治吗?
烟雾病患者可反复出现脑出血或脑梗死,预后极差,且药物治疗是无效的,不能阻止该疾病的发展。
这个信息犹如晴天霹雳
赵女士一下子陷入了深深的忧愁之中……


贾映海
神经外科教授
烟雾病也不是不可治疗的,血管搭桥手术是目前治疗烟雾病及颅内多发动脉闭塞较有效的方法,能有效阻止疾病的进展,极大降低再出血及脑梗死的发生几率,提高生存率及生活质量。
赵女士内心又重新燃起了希望
当即决定手术治疗

完善了术前准备后,贾映海教授和四川省人民医院黄光富教授强强联手,为赵女士实施了STA-MCA(颞浅动脉 - 大脑中动脉)搭桥术,用一根比头发丝儿还细的针线在直径仅仅1mm的血管上进行搭桥。
手术很顺利
目前赵女士恢复良好
提示
头晕不是老年人的“专利”,年轻人的头晕更应该引起重视。对于烟雾病,医学界公认没有什么有效的保守治疗办法,一旦确诊建议尽早手术治疗。

本院医生亲诊
电话咨询
028-68760707